jitsu gif
    Провели подряд дней с нами

    Двухлетний ребенок получил травму из-за подростка в Алматы: в полиции озвучили новые данные

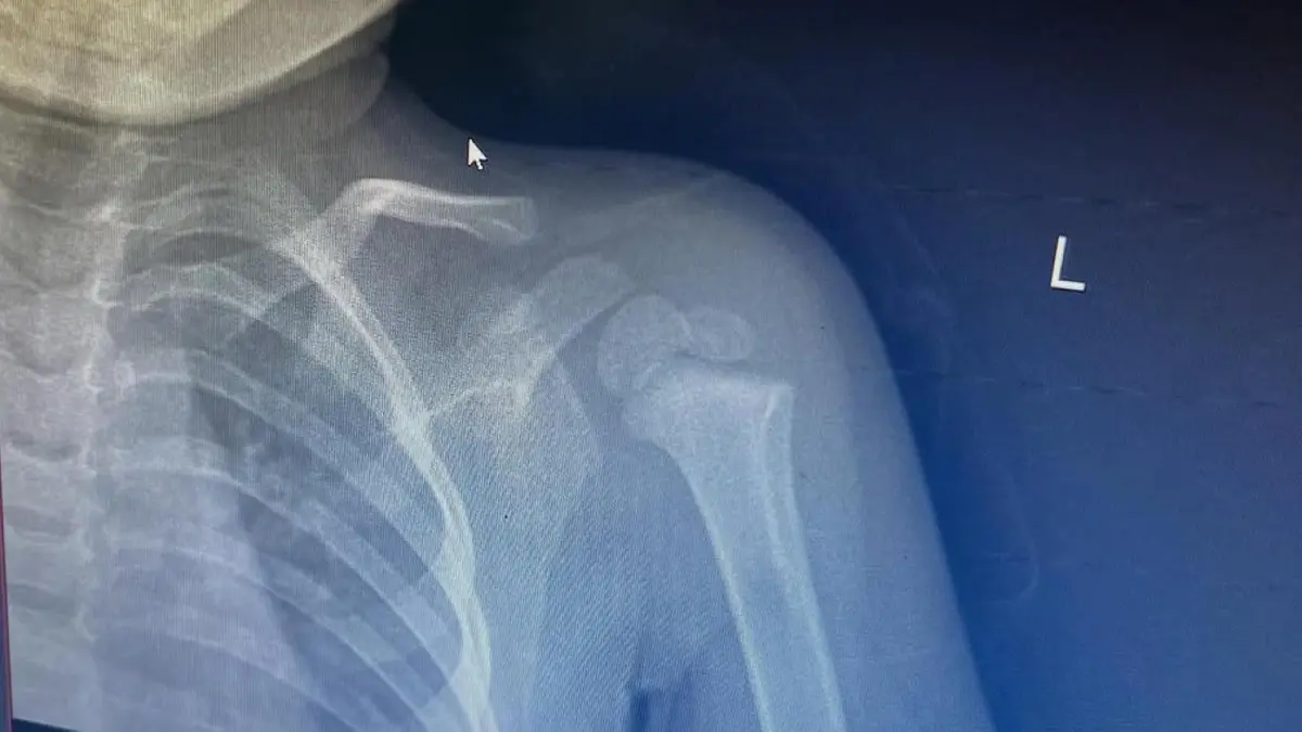
    Рентген пострадавшего ребенка
    Рентген пострадавшего Фото: instagram.com/_sssaparovaa_

    После появления в соцсетях обращения матери двухлетнего ребенка, которого о землю ударил подросток, за деяния несовершеннолетнего наказали родителей, передает NUR.KZ со ссылкой на ДП Алматы.

    Сегодня мы писали, что в Сети появилось видео, где подросток, вероятно, ударил о землю двухлетнего ребенка - пострадавший сломал руку. Мать малыша рассказала подробности.

    Отмечалось, что в полиции завели уголовное дело. Но по словам женщины, в правоохранительных органах ей сказали, что несовершеннолетний ответственности не понесет.

    Редакции в Департаменте полиции Алматы сообщили, что заведено уголовное дело.

    Однако чуть позже корреспонденту NUR.KZ в ведомстве озвучили подробности по данному делу.

    "За ненадлежащее исполнение обязанностей по воспитанию родители подростка привлечены к ответственности", - сказали в пресс-службе ДП Алматы.

    Также отмечается, что в настоящее время проводится комплекс следственных мероприятий, направленных на установление всех обстоятельств произошедшего.

    Напомним, ранее в Астане семилетний ребенок получил травмы после драки с десятилетним мальчиком. В полиции не смогли возбудить уголовное дело.

    До этого в Сети появились кадры избиения ребенка - инцидент произошел почти месяц назад. В игровой комнате в одном из ресторанов города мужчина несколько раз ударил ребенка в область ягодиц.

    Эксклюзивный контент и новости только для вас! Подпишитесь на Telegram!

    Подписаться

    Узнавайте обо всем первыми

    Подпишитесь и узнавайте о свежих новостях Казахстана, фото, видео и других эксклюзивах

    Instagram
    Закладки
    Пока здесь пусто
    Используйте кнопку «
    » на странице публикации, чтобы сохранить её в свой личный список закладок.